as far as consumables, consider a mushroom tincture, sea moss, cream of wheat or similar consistency meal in order to coat the ulcer; lie on the ground belly down and make sure to catch some sunrises & sunsets - all will speed up healing;
once the crater calms down, u can start on all those anti-parasitic mixtures; if u do that while the crater is inflamed, gonna have a difficult time;
quoting
naddr1qq…st9v[disclaimer: reposted from https://stacker.news/items/1439763 due to formatting issues]
i am about 2 months into a strict & constantly evolving parasite cleanse protocols; in this post, i shall narrate the rough sketch of my favorite routine in the world and some of the rationale behind the said practices;
note, my actual bodily defense practices are more sophisticated and evolved than what i present here; i consider the methods outlined here as the bare minimum practices that an average stacker shud exercise in order to rid the body of infestation and thus help evolve his or her consciousness to the next level;
https://stacker.news/items/1266468
for those unfamiliar with where i stand on the topic of infestation & intoxication of our species, i recommend going thru the Parasite Wars series in bio;
those whose mind cannot accept this information as logically correct - definitely need an enema bag;
Enemas for Enemies
enemas have been around as long as human civilization exists; the earliest mainstream-documented accounts of enemas date back to Ancient Egypt.
"No surprise there. What is unusual, however, is that the enema was considered such an essential component of good health that every pharaoh had his own so-called “Guardian of the Anus.” Both the Edwin Smith Papyrus (c.1600 BC) and the Ebers Papyrus (c. 1550 BC) - two of the earliest known medical documents - mention enemas in detail." link
the current environment is extremely conducive to the survival and spread of an average flesh parasite; the average Socialized Western human beings today are no longer capable of defending themselves even against the simplest of the gut parasites; the mainstream parroting ritual of "but some parasites are good for us, let's coexist!" does not help the situation either;
moreover, the parasite-influenced state propaganda demonizes and ridicules people who run routine colonic enemas; for example, a story was dug up where a girl was doing 3 coffee enemas per day in order to eliminate cancer and ultimately failed (indeed, it takes much more than coffee enemas in order to clear away the parasite-induced neoplasia);
i have originally rediscovered the enemas thanks to a podcast What's Eating U?!; i then found a company that sells very nice silicone enema bags along with the light-roast coffee beans: Happy Bum Team;
caption: look at those marvelous toned bodies and smiling faces!
caption: colonic diverticula as seen via colonoscopy; diagram of colonic diverticular disease;
we are told that colonic diverticula occur due to lack of fiber in the diet and straining during bowel movements, which is a story for naive children; i think there is complex offensive biochemistry at play that weakens the connective tissue of the gut and facilitates formation of the pockets where gut parasites hang out, waiting for the feed to come down the pipes; https://stacker.news/items/1268596
the actual enema routine is pretty straight forward:
once u figure out the general setup and flow rate, u can work on advanced routines, such as: * adding colder and ozonated liquid * walking ur legs up the wall * walking the stairs in order to slosh the liquid around the colon * jumping jacks and dancing * adding in minerals and healing compounds (estate-grade hawaiian kona coffee maybe? haha!);
caption: the inversion helps the liquid go further and faster into the colon, up to the ileocecal valve, without the additional volume; btw, sorry for self-censorship...
caption: this fella actually managed to swim all the way into the tubing against the stream! wow!
synopsis on enemas: the results of this practice are spectacular; i no longer feel like i am giving up a large load of my mitochondrial energy to the enemy; i have better body awareness and better control of the anal sphincter; i am definitely lighter and stronger per unit of body weight; i feel like ... i can fight the greatest battles on planet earth!
Nasopharynx Blast
in my opinion, the final boss creeps at night down into the nasopharynx from the sinuses and from above the cribriform plate, in search of leftover piece of food; pieces of food get stuck in the complex folds of the nasopharynx (e.g. fossa of Rosenmuller), deep in the gums, and some people even develop a pouch called "Zenker's diverticulum" that can store a chunk of feed for the parasite to munch on at night-time;
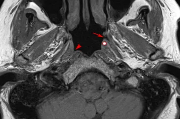
caption: coincidentally, this is one of the regions where ENT (ear-nose-throat) specialists scrutinize for early signs of nasopharyngeal carcinoma (red arrowhead);
caption: Zenker's diverticulum
based on knowledge of head & neck anatomy, here is my straightforward method for a thorough nasal flush:
- get a plastic squeezable bulb, fill with clean water (reverse osmosis, mineral, or distilled), mix in salt (about 1% or less by weight, as tolerated) and peroxide and/or ozone as available; i wud start with a significant dilution of peroxide, about 0.1% or less; it's gonna really burn if u go hard;
- squeeze the bottle and inhale the liquid thru one nostril, while holding closed the other; keep inhaling until the liquid flows into the mouth; collect enough for a swish & gargle;
- with ur fingers squeeze closed both nostrils, swish the liquid around the mouth, then gargle it in the back of the throat; the resulting turbulence throughout the nasopharynx shud help dislodge the foreign slime off ur mucosa;
- repeat thru the other nostril;
the skull base, facial bone, and the head-neck anatomy in general is very complex, with multiple orifices thru which an amorphous creature may move in search of feed; based on the sheer volume of stringy slime that i routinely expel thru the nose/mouth, i think that the organism moves throughout the central nervous system in pieces; in my opinion, one can even see them on MRI as "flow artifact;" the floaters in the eyes likely represent parasitic strings - u can best see then while looking up at the sky without sunglasses;
caption: ethmoid bone and multiple-angle views of sphenoid bone that is located posterior to the ethmoid bone; note the resemblance to a certain kind of butterfly;
lacking a microscope (for now), armed only with a cheap smartphone camera, i took photos of some of the yield from the nose, which in my opinion represent pieces of a larger organism with numerous heads/tentacles;
caption: note how the slime has definite structure(s), i.e. it holds shape; these structures do not dissolve in saline water or after swirling them in saline water;
caption: the structures do rapidly disintegrate into tiny pieces with addition of hydrogen peroxide;
contemplating the nasal rinses: this practice takes much more discipline than enemas - technically u shud flush upon waking up, after every meal, and before heading to sleep; in my experience, reactive oxygen species (ROS) such as ozone and hydrogen peroxide help expel the thicker green worms - the yield of stringy slime is phenomenal, although the native mucosal tissue burns slightly due to exothermic reaction, so i take breaks; the ROS gas reaches even the inner corners of the eyes, making them watery and the orbital parasites very uncomfortable;
Brandon's Protocols: Electrostasis Substack;
Mouth & Dental Hygiene
this one certainly does not get taught correctly:
first of all, ditch the fluoridated toothpaste with artificial flavors; toxicity of mainstream commercial toothpaste is a fact, get over it; instead of buying industrial sludge, mix some baking soda with coconut oil and add a clean peppermint essential oil for refreshing feeling if desired;
when brushing teeth, make circling motions on the teeth as well as systematic motions with the brush that peel back the gum tissue; the dental hygiene ritual shud end with a thorough swish & gargle using salty water with or without baking soda - the parasite hates this combination; i also like the WaterPick;
u have to do this after every meal - do not let the parasite have any bite, especially not at night; eat ur food quickly, as if u are in the army during wartime; u can enjoy ur meals again once we drive these assholes back to Saturn or wherever they came from;
Ear Hygiene
reaching the Eustachean tubes is my current challenge - i speculate that the outer ear is like a dumping ground where the parasite poops; the Eustachean tubes likewise get clogged frequently; what i do is insufflate the ear canals thru the bubbler with Ozone, and flush them occasionally with hydrogen peroxide and ozonated water; because my ears are typically quite clogged, i also got a small ear camera with a scooper - it will takes some practice to get skilled with the scooper; there are multiple boutique-style clinics that can clean the ears for u as well;
The Extreme Solution
u can also fill up a big bowl with cold ozonated water, pour in some hydrogen peroxide, and dunk ur head in for a bit with open eyes; i wud absolutely not recommend this for an infested novice - that might trigger an intense Herxheimer reaction (toxins released from dying parasites); u might need more than activated charcoal in order to mitigate those effects;
TLDR
if u wish to have a clean, strong body and a sound mind, u may want to start doing routine colonic enemas, rinse ur nose & ears daily, and raise ur dental hygiene standards; start fasting frequently and narrow ur eating window;
the alternative is severe disease, dementia, and early death; there is no magic pill;
ad astra per aspera (to the stars thru hardships)
